จากสื่อต่างประเทศ ได้รายงานว่า ดร.ซู อี้เฟิง แพทย์เฉพาะทางด้านทรวงอก เปิดเผยถึงกรณีการป่วยของผู้ป่วยชายรายหนึ่ง อายุ 40 ปี ได้รับการวินิจฉัยว่าเป็นวัณโรค หลังจากพบว่าทั้ง 10 นิ้วของผู้ป่วย เริ่มขยายเป็นแนวยาวคล้ายตะบอง ซึ่งเรียกว่า ภาวะนิ้วปุ้ม (Clubbing finger) หรือ นิ้วตะบอง
ดร.ซู อี้เฟิง เผยว่า ชายคนนี้ไม่สูบบุหรี่เลย แต่รู้สึกหายใจลำบากมาหลายเดือนจึงตัดสินใจมาพบแพทย์ "พอหมอตรวจดูก็พบว่านิ้วมือของเขามีลักษณะเป็นนิ้วตะบองอย่างชัดเจน แถมเป็นเกือบทุกนิ้ว

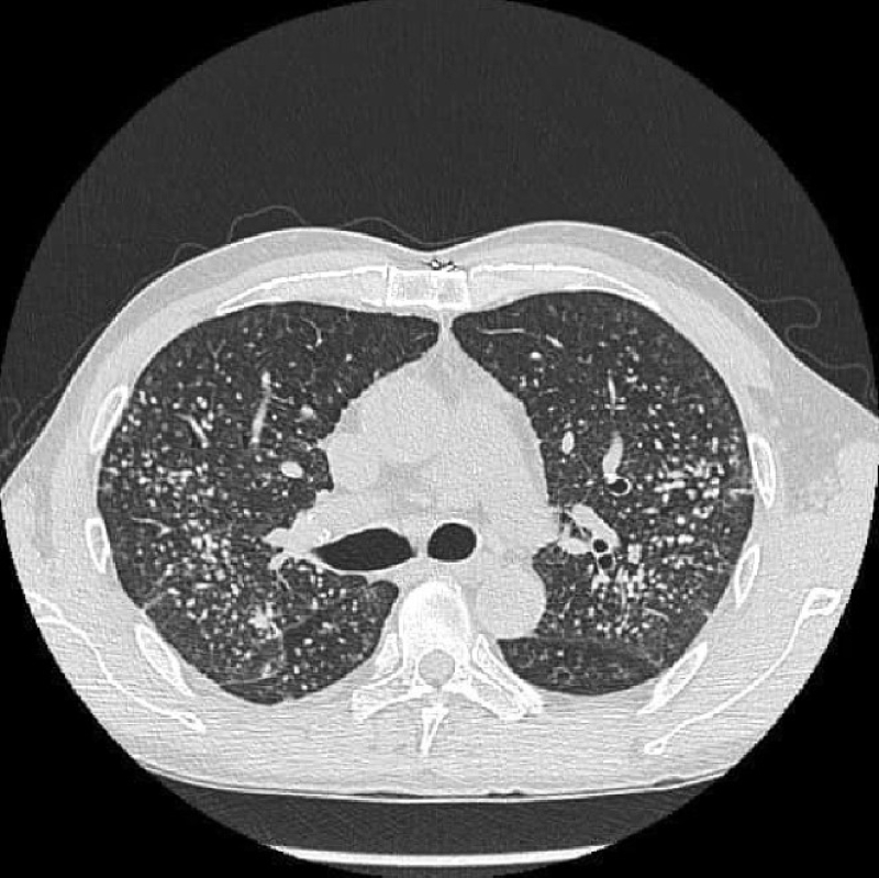
เมื่อทำการเอกซเรย์ปอดก็พบก้อนเนื้อเล็ก ๆ เต็มไปหมด ราวกับท้องฟ้าที่เต็มไปด้วยดวงดาว มีนับพันนับหมื่นจุด ซึ่งอาจทำให้คนที่กลัวสิ่งแออัดรู้สึกขนลุกได้ หากสังเกตเห็นว่านิ้วมือกลายเป็นลักษณะนิ้วตะบอง ควรรีบไปพบแพทย์เพื่อตรวจสอบ ดร.ซู อี้เฟิง กล่าวปิดท้าย
สำนักงานสุขภาพแห่งชาติ กระทรวงสาธารณสุขของไต้หวัน ได้เคยระบุว่า นิ้วตะบอง เป็นภาวะที่ปลายนิ้วขยายใหญ่ขึ้น มักทำให้มุมระหว่างฐานเล็บและข้อนิ้วผิดรูป อาการนี้อาจเกิดในผู้ป่วยที่มีโรคเกี่ยวกับ หัวใจและปอด ซึ่งทำให้ร่างกายขาดออกซิเจน หรือในผู้ที่มีปัญหาด้านระบบย่อยอาหาร อย่างไรก็ตาม ไม่ใช่ผู้ป่วยมะเร็งปอดทุกราย ที่จะมีอาการ นิ้วตะบอง นี้

